Зачем проводить диагностику речевого развития

Когда ребёнок начинает говорить позже сверстников, произносит слова невнятно или строит фразы с ошибками, родителям становится тревожно. Кажется, что всё наладится само — подрастёт и заговорит. Но с речью всё немного иначе. Она развивается по определённым этапам, и отклонения в этом процессе — это не “особенности”, а сигналы, что мозгу нужна помощь. Диагностика помогает понять, …

Виновата жара? Смертельная детская травма, которую легко предотвратить

Какая опасность для детей возникает в период жары и при этом ее очень просто предотвратить? Об этом aif.ru рассказал травматолог-ортопед, научный сотрудник отдела заболеваний суставов и костной патологии НМИЦ детской травматологии и ортопедии имени Г. И. Турнера Минздрава России Сергей Лукьянов. — Как врач, ежедневно сталкивающийся с последствиями тяжёлых травм, я не могу спокойно говорить …

Советы по выбору идеальных подгузников

Типы подгузников Все подгузники можно условно разделить на следующие виды: Обычные одноразовые. Они имеют липучки, которые делают процедуры надевания и снимания очень удобными. Такой вид наиболее популярен среди современных мам. Одноразовые подгузники-трусики. Они выглядят как трусики, так как вместо липучек имеют резинку, как обычные трусы. Такой вид стоит выбрать, если вы приучаете малыша к горшку. …

Как рассказать ребенку о смерти близкого человека: советы психолога и возрастные особенности

Смерть близкого человека становится серьезным испытанием для всей семьи. Особенно трудно приходится детям, которые еще не готовы к восприятию такой потери. Вопрос о том, как сказать ребенку о смерти родственника, требует деликатного подхода и понимания детской психики. Говорить или молчать? Многие родители сомневаются, стоит ли вообще рассказывать малышу о произошедшем. Практический опыт показывает, что правда …

Надувной бассейн – лучшее развлечение для ребенка

Купание и плавание очень полезны для ребенка. Лучше всего для этого подходят занятия в бассейне, где обучение плаванию детей проходит под руководством профессиональных инструкторов. Плавание помогают развивать у ребенка выносливость, мышечную силу и способствует общему укреплению здоровья. В Москве есть замечательный бассейн «Блумкидс», где помогают ребенку развивать персональные навыки. Если у вас есть свой участок, …

Что делать если ребенок отказывается ходить в школу?

И вот оно долгожданное первое сентября – торжественная линейка, новенькая форма, школьные принадлежности и ранец – все готово к тому, чтобы отправляться в школу и впитывать новые знания. Но готов ли к этому ваш ребенок? К сожалению, далеко не все дети радостно воспринимают весть об окончании каникул и необходимости снова отправляться на занятия, как раз-таки …

Витамины для беременных: пить или не пить?

Вполне очевидно, что во время беременности организм женщины нуждается в большом количестве витаминов, минералов и питательных веществ. Поэтому многих будущих мам очень волнует вопрос: надо ли прибегать к дополнительному приему витаминов, или можно надеяться, что необходимая норма восполнится за счет возросшего аппетита? В подавляющем большинстве случаев акушеры-гинекологи рекомендуют будущей маме соблюдать специальный рацион, богатый витаминами …

Как подготовить организм ребенка к спортивным сборам: пошаговое руководство

Какие факторы могут помешать успеху? Чтобы ваш ребенок смог полностью раскрыть свой потенциал на сборах, важно знать о возможных рисках: Недостаточная физическая подготовка: Организм, не подготовленный к высоким нагрузкам, быстро устает, что повышает риск травм. Несбалансированное питание: Отсутствие необходимых питательных веществ ослабляет иммунитет и снижает работоспособность. Сниженный иммунитет: Интенсивные тренировки, смена обстановки, контакты с новыми …

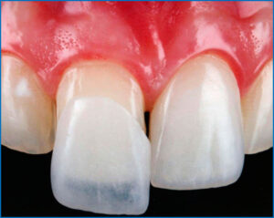
Как ставят виниры: все об этапах установки

Хотите ровные и белоснежные зубы без долгого ношения брекетов или отбеливания? Виниры — отличное решение! Эти тонкие накладки мгновенно скрывают дефекты зубного ряда, даря вам уверенность в своей улыбке. Преимущества виниров: ✔ Мгновенный результат — зубы становятся идеальными уже после первого посещения. ✔ Естественный вид — современные материалы (керамика, композит) имитируют натуральную эмаль. ✔ Долговечность …

Можно ли кормить грудью, если установлены импланты — отвечает хирург

Маммопластика — одна из самых популярных коррекций. И не удивительно, ведь после беременности, в течение которой организм претерпевает стресс, не каждое тело может полностью восстановиться. Грудь же после завершения периода лактации сильно теряет в объеме, из-за чего обвисает, также на ее внешнем виде сказывается и кормление малыша. Так что большинство женщин обращается к пластическим хирургам …